TEL.0568-81-2200
受付時間:9時〜19時(平日)
更新:2026年1月27日
先進的な医療を皆様の元へ
この度、当クリニックでは「胸部X線画像病変検出ソフトウェアCXR-AID」を搭載した小型拡張ユニットEX-Mobileを導入しました。
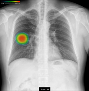
本特徴としましては、AI技術を活用して胸部単純X線画像から結節・腫瘤影、浸潤影、気胸の3つの画像所見を検出し医師の画像診断を支援するものです。
撮影した胸部単純X線画像を自動解析し、結節・腫瘤影、浸潤影、気胸が疑われる領域を検出しマーキングします。
結節・腫瘤影
気胸
浸潤影
医師の読影と組み合わせることで、見落としを防ぎ、より正確で迅速な診断が可能となります。